Um homem de 45 anos com uma história de infecção pelo HIV apresenta-se ao departamento de emergência com falta de ar progressiva e dispnéia aos esforços há um mês. Ele tem uma tosse que é produtiva de escarro branco e hoje acordou com uma temperatura de 38,3 ° C. O paciente não relata dor no peito, hemoptise, ortopnéia, dispnéia paroxística noturna, palpitações ou inchaço em extremidades inferiores. Ele desenvolveu aftas nas últimas 1-2 semanas e também desenvolveu anorexia, com uma perda de peso de 20 kg, ao longo dos últimos três meses. O restante de sua análise de sistemas é negativo. Ele não relata qualquer viagem recente ou contatos com doentes. Ele não tomou remédios e recentemente foi eleito para parar o seu regime de tratamento do HIV (tratava há 10 anos) por causa do efeito adverso da diarréia grave. O paciente não fuma, não consome álcool ou usa drogas ilícitas. Ele é sexualmente ativo com um parceiro e usa preservativos. O paciente não tem alergias a medicamentos conhecidos.
Ao exame físico, a temperatura do paciente é 38,3 ° C. Seu pulso é de 136 batimentos / min, com um ritmo regular. Sua pressão sanguínea é 100/70 mm Hg, freqüência respiratória de 30 respirações / min, com uma saturação de oxigênio de 76%, enquanto respirando ar ambiente. Em geral, o paciente é caquéticos e apresenta dispnéia. Ele tem mucosas secas, com placas brancas removíveis em toda a orofaringe. O exame da cabeça e do pescoço são normais. Apresenta estertores grossos bibasais na ausculta pulmonar. Seu peito é indolor à palpação, é ressonante à percussão, e se expande de forma simétrica. Exceto por taquicardia, o exame cardíaco é normal. Os exames neurológicos e abdominal são normais. O paciente não tem nenhuma cianose ou edema das extremidades. Sua pele é quente, seco e livre de lesões ou erupções cutâneas. Não há linfadenopatia palpável.
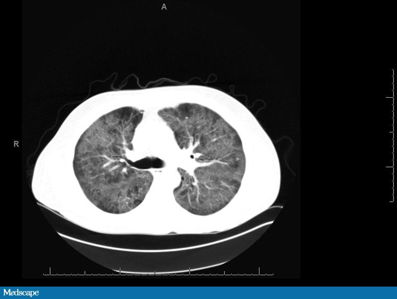
O eletrocardiograma apresenta taquicardia sinusal. A gasometreia do sangue arterial do paciente é compatível com alcalose respiratória crônica. A radiografia de tórax mostra aumento de marcações inetrsticiais difusa e bilateral e angiotomografia computadorizada (TC) de tórax demonstra opacidades difusas em vidro fosco, sem linfadenopatias ou embolia pulmonar (Figuras 1 e 2). A contagem de glóbulos brancos é de 5,2 × 103/μL. A contagem de linfócitos CD4 é de 38 células /μL. O resultado quantitativo sobre HIV-1 RNA PCR é 1.710.000 cópias / mL. Rotina de sangue e as culturas de urina são negativos. Uma amostra de escarro induzido é enviada para análise.


QUAL O DIAGNÓSTICO??
A-Tuberculose Pulmonar
B-Sarcoma de Kaposi
C-Linfoma
D-Pneumonia por Pneumocystis jiroveci
E-Pneumonia por Cryptococcus neoformans
Resposta e discussão em breve!!
Fonte:
Medscape*
*
*
*
*
*
*
*
*
*
*
*
RESPOSTA: D – Pneumonia por Pneumocystis jiroveci
O diagnóstico de pneumonia por Pneumocystis jiroveci (PCP) foi baseado na história do paciente, exame físico, radiografia de tórax e exame microscópico. A amostra de escarro induzido mostrou rara flora mista como resultado. Um lavado broncoalveolar (LBA) foi feito e testes de imunofluorescência direta da amostra demonstrou P. jiroveci. Testes adicionais, incluindo BAAR; antígeno Cryptococcus neoformans; sorologia para Toxoplasma gondii; testes laboratoriais de investigação de doenças venéreas; e culturas para citomegalovírus, fungos, Legionella pneumophila e Mycoplasma pneumoniae foram feitos para excluir diagnósticos alternativos.
P.jiroveci, anteriormente conhecido como P carinii, é uma das infecções mais prevalentes definidora de AIDS. A incidência do PCP é de 0,5% em indivíduos infectados pelo HIV com uma contagem de CD4 de 201-350 células / microlitro e 8% em aqueles com CD4 <200 células / microlitro. As complicações pulmonares da infecção pelo HIV Study Group, que inclui mais de 1100 pessoas, constatou que 95% dos pacientes com infecções P jiroveci tinham contagens de células CD4 inferior a 200 células / microlitro. O risco de desenvolver PCP em doentes de raça negra era um terço do observado nos pacientes brancos. Vários fatores de risco para o desenvolvimento do PCP em pacientes que não estão infectados com o HIV têm sido identificados, incluindo o câncer, imunossupressão, e de órgãos sólidos transplante. Imunomoduladores (mais comumente, corticosteróides) e terapia de anticorpo monoclonal também estão associados à infecção P. jiroveci.
Apesar da transmissão do P.jiroveci não ser bem compreendido, a evidência atual suporta a aquisição de humano para humano, provavelmente através de partículas em suspensão.
Estudos têm demonstrado que os pacientes infectados pelo HIV com P.jiroveci têm menos neutrófilos e uma carga parasitária maior no organismo do que os não-infectados pelo HIV. Esta observação pode explicar a diferença nas características clínicas do PCP observada em pacientes com AIDS em comparação com aqueles sem AIDS. Embora os limites do sistema imune do hospedeiro limpa infecções por Pneumocystis, uma resposta inflamatória exagerada resulta em lesão pulmonar e dano alveolar, troca de gases prejudicada, e insuficiência respiratória. Quase todos os pacientes infectados pelo HIV apresentam um início gradual de febre, dispnéia progressiva e tosse que geralmente é improdutiva. Eles também podem sentir dor torácica, calafrios, perda de peso e fadiga. Sete por cento dos pacientes são assintomáticos. Os achados de exame físico incluem febre, taquipnéia e estertores ou roncos na ausculta, no entanto, aproximadamente metade dos pacientes apresentam exames de tórax normal. Em contraste com os pacientes infectados pelo HIV, as pessoas com sistemas imunológicos comprometidos resultantes de outras causas apresentam com insuficiência respiratória aguda fulminante, que freqüentemente exige a ventilação mecânica. Outros sintomas incluem febre e tosse não produtiva, que pode se correlacionar com imunossupressores ou de titulação de dose. A diferença na mortalidade dos pacientes também tem sido observado. A mortalidade de pacientes com AIDS e infecção aguda do PCP é de 10% -20% e é significativamente mais elevada para aqueles que necessitam de ventilação mecânica. A taxa de mortalidade em pacientes não infectados pelo HIV com PCP se aproxima de 30% -60%.
PCP pode ser difícil de diagnosticar inicialmente. Os primeiros sinais e sintomas são inespecíficos e podem ser sutis ou atípicas naqueles que recebem medicamentos profiláticos. Além disso, pacientes imunodeprimidos podem ser co-infectados com múltiplos organismos. O P.jiroveci não pode ser cultivado e a avaliação microscópica é necessária para o diagnóstico definitivo. O primeiro passo no diagnóstico da PCP é a obtenção de escarro induzido pela inalação de solução salina hipertônica, que tem 55%-92% de rendimento. A sensibilidade pode estar diminuída em pacientes em uso de pentamidina em aerossol para a profilaxia. Um resultado negativo deve alertar o desempenho do LBA, um exame mais invasivo, com sensibilidade variando de 89% para 98%. As complicações potenciais do LBA incluem febre e insuficiência respiratória. A biópsia transbrônquica geralmente não é indicado devido à alta sensibilidade do LBA e as possíveis complicações da hemoptise e pneumotórax. Da mesma forma, a agulha de biópsia transtorácica é altamente sensível, mas é evitado por causa da incidência de 30% de pneumotórax. Biópsias por toracotomia ou toracoscopias por vídeo têm sensibilidades relatada como 100%, mas eles raramente são usados por causa da despesa e riscos de um procedimento invasivo. Se um paciente está entubado, o aspirado traqueal produzir uma sensibilidade de 92%. A função diagnóstica da PCR também está sendo investigado. PCR pode ajudar a diferenciar colonização de infecção, bem como identificar cepas resistentes de jiroveci P. Outro possível teste de diagnóstico que tem sido investigado é a medição do lactato desidrogenase sérica (LDH). Apesar de um nível sérico normal tornar a doença por P.jiroveci improvável, um nível elevado de LDH tem baixa especificidade.
O estudo de imagem inicial adequada para os pacientes imunocomprometidos com sintomas pulmonares ou constitucional é o Raio-X tórax. Radiograficamente, o PCP clássico apresenta-se como infiltrado intersticial bilateral perihilar que se torna mais extensa e pode progredir para consolidações em vários dias. Apesar disso vários achados radiológicos, incluindo resultados normais, tem sido descrito em pacientes HIV-positivos com PCP. A radiografia de tórax melhora em 2-4 semanas com o tratamento adequado. Lesão parenquimatosa pode resultar em achados radiológicos anormais persistentes. Até 10%-39% dos pacientes podem ter um raio-x de tórax normal. Achados menos comuns incluem nódulos parenquimatosos, pneumatocele, consolidação focal, bronquiectasias e pneumotórax. Pneumotórax espontâneo ocorre em 6%-35% dos pacientes e está associado com pneumatocele. Pacientes com pneumotórax associados a PCP têm maiores taxas de mortalidade. Doentes previamente tratados com pentamidina em aerossol pode apresentar infiltrados no lobo superior.
A tomografia de alta resolução do tórax (TCAR) pode ajudar no diagnóstico se a radiografia de tórax for negativa e a suspeita clínica permanece elevado. Na TCAR são observados opacidades em vidro fosco quando o exsudato preenche os alvéolos sem obstrução da arquitetura subjacente pulmonar. Um estudo relatou uma sensibilidade de 100% com uma especificidade de 89% na TCAR. O diagnóstico diferencial de opacidades em vidro fosco inclui edema pulmonar, toxicidade da droga, pneumonite por hipersensibilidade, síndrome da angústia respiratória aguda, linfoma, sarcoma de Kaposi e outras infecções pulmonares oportunistas. Consolidação focal é um achado menos comum. Embora a TCAR não estabeleça o diagnóstico, um estudo negativo pode excluir o diagnóstico.A infecção por P jiroveci que ocorre apesar do uso de terapia profilática adequada pode resultar em uma menor sensibilidade e exames de imagem atípicos.
O tratamento de escolha para a infecção aguda PCP é sulfametoxazol-trimetoprim por 21 dias. A dose recomendada para a doença ligeira ou moderada é de 320 mg de trimetoprim e 1600 mg de sulfametoxazol cada 8 horas. A doença grave exige uma terapia parenteral. Para os pacientes com alergias a medicamentos à base de sulfa, a terapia alternativa inclui pentamidina parenteral, atovaquona, dapsona-trimetoprim, a clindamicina ou primaquina. O tratamento concomitante com corticosteróides sistêmicos mostrou melhora na evolução clínica e na mortalidade em pacientes infectados pelo HIV com sintomas moderados a severos de PCP, sem aumentar o risco de outras infecções oportunistas. O esquema recomendado inclui prednisona 40 mg duas vezes ao dia durante 5 dias, 40 mg por dia durante os próximos 5 dias e 20 mg para os próximos 10 dias.
A profilaxia contra o PCP em pacientes infectados pelo HIV começa quando a contagem de CD4 é inferior a 200 células / microlitro. Outras indicações incluem uma história de candidíase orofaríngea ou PCP. A profilaxia é interrompida quando a contagem de CD4 ficar acima de 200 células / microlitro por três meses, como pode ocorrer em resposta a terapia anti-retroviral e é reiniciada se a contagem de CD4 diminui abaixo do limiar. O agente profilático de escolha é o sulfametoxazol-trimetoprim. Alternativas incluem pentamidina, dapsona em aerossol, e atovaquona.
Pacientes com alergias a medicamentos à base de sulfa não podem tolerar sulfametoxazol-trimetoprim. Diretrizes do tratamento recomendam a suplementação de folato ou leucovorin com hemograma completo e monitorização da testes de função hepática.
O paciente foi internado e tratado com sulfametoxazol-trimetoprim parenteral, prednisona e oxigênio suplementar. Posteriormente, o paciente mudou para o uso oral de sulfametoxazol-trimetoprim e, eventualmente, passaram a atovaquone para a profilaxia. Ele recebeu lavagens de nistatina e fluconazol para candidíase. Desde a sua quitação, um atendimento médico primário e um médico de doenças infecciosas têm guiado cuidados de acompanhamento do paciente, incluindo o início da lamivudina, ritonavir, atazanavir, abacavir e para a terapia anti-retroviral.
Façam seus comentários.